Transforming Lives with Transformative Dentistry
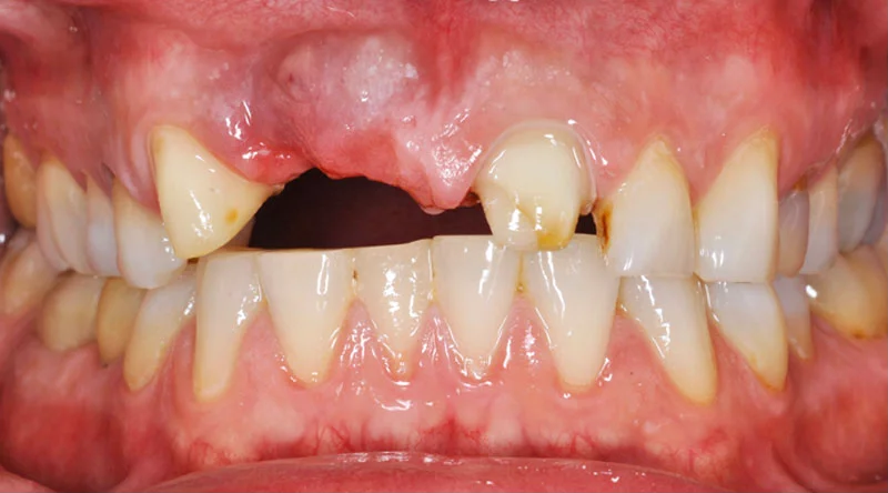
Losing even one tooth can affect your confidence, comfort, and overall oral health. Losing multiple teeth or an entire arch can significantly impact your ability to eat, speak, and smile comfortably. While it may feel isolating, tooth loss is extremely common.
Studies estimate that nearly 178 million Americans are missing at least one tooth, and approximately 40 million are missing all of their teeth. The risk increases with age, with nearly 30% of adults between 65 and 74 experiencing complete tooth loss.
At Pearl Dental Implant Center, we understand the physical and emotional challenges of living with missing teeth. We have seen firsthand how full mouth dental implants in Holbrook and Scituate, MA can dramatically restore confidence, stability, and quality of life.
Dr. Teresa Salem and her experienced dental team provide advanced full-mouth restorative solutions designed to complement your facial structure, lifestyle, and long-term oral health. Replacing missing teeth is essential not only for aesthetics, but also for restoring function and preventing bone loss and future complications.
With customized full arch dental implants in Holbrook and Scituate, patients experience improved oral health, natural-looking results, and renewed self-esteem through personalized treatment plans tailored to their goals.
Understanding Possible Solutions
Traditional dentures are often considered the most affordable tooth replacement option. However, they do not provide the same stability, comfort, or long-term health benefits as full mouth dental implants and cannot prevent ongoing jawbone loss.
Our interdisciplinary team has extensive training in placing and restoring full arch dental implants in Holbrook and Scituate, MA using advanced digital planning and guided surgical technology.
We work with leading implant systems, including Neodent. Also known as implant-supported dentures, All-on-X full mouth dental implants consist of four to six small titanium posts that support a crafted row of teeth that are custom-fitted to your mouth.
One major benefit of the All-on-X approach is that it may allow certain patients with bone loss to avoid bone grafting by angling implants to maximize existing bone support.
Traditional Dentures
- Removable
- 5+ Year Lifecycle
- Adhesives Recommended
- Doesn’t Prevent Bone Loss
- Dietary Limitations
Implant Retained Dentures
- Removable or fixed
- 10+ Year Lifecycle
- Secured by 2+ Dental Implants
- Slows Bone Loss
- Increased Chewing Potential
Full Arch Dental Implants
- Fixed Permanently
- Lasts Decades to Life
- Secured by 4+ Dental Implants
- Prevents Bone Loss
- Unlimited Food Choices
Our Efficient Process
Stage 1: Comprehensive Consultation
If you have been told you are not a candidate for dental implants, we encourage you to seek a second opinion. We offer complimentary initial consultations to fully evaluate your oral health and goals. A personalized consultation allows our dental team to assess your unique needs and goals, ensuring your treatment plan is customized for you. Dr. Salem will discuss your smile goals, review your medical history, and perform advanced diagnostic imaging to assess bone quality and determine ideal implant placement.
You will leave with a clear understanding of:
- Your treatment options
- Timeline
- Cost breakdown
- Clinical recommendations specific to your smile
Our goal is to ensure you feel informed, confident, and fully prepared for your full mouth dental implant journey.
Stage 2: Implant Placement
If Dr. Salem determines that you don’t have sufficient jawbone volume to support your implants, bone grafting may be recommended to strengthen the implant site. After healing, implants are placed using fully guided surgical technology for precision and predictability.
If adequate bone is available, implants are placed directly into the jawbone during a carefully planned procedure. We offer minimal oral sedation to maximize comfort during dental implant surgery.
In most cases, patients receive a temporary set of teeth the same day, allowing you to leave with a functional and natural-looking smile while healing takes place.
Stage 3: Restoration
Over the next several months, your implants fuse with the jawbone through a process called osseointegration. Once healing is complete, your final custom restoration is securely attached.
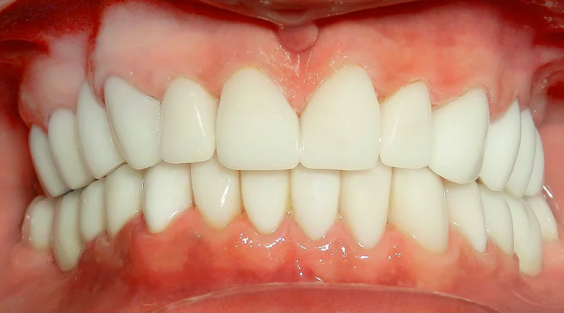
Your permanent prosthetic is crafted from high-quality zirconia, a durable and highly aesthetic material designed to provide long-term strength and natural beauty. Zirconia restorations are known for their exceptional durability, stain resistance, and lifelike appearance, making them an ideal choice for full arch dental implants.
With full mouth dental implants, you no longer need to worry about dentures slipping, clicking, or being removed at night.
Patients who receive full mouth dental implants in Holbrook and Scituate often describe renewed confidence, improved comfort while eating, and the freedom to smile without hesitation.
Caring for Your Dental Implants
Caring for your dental implants is essential to ensure their long-term success and to maintain both your oral and overall health. With proper care, full mouth dental implants can provide you with a beautiful, functional smile for many years—restoring your confidence and allowing you to enjoy your favorite foods without worry.
A consistent oral hygiene routine is the foundation of full mouth dental health. Regular follow-up appointments with your dentist are crucial for monitoring the healing process and ensuring your full mouth dental implants are functioning as they should.
Ultimately, maintaining your full mouth dental implants is a partnership between you and your dental team. By following a proper care routine, attending regular check-ups, and adhering to your personalized treatment plan, you can enjoy the life-changing solution that full mouth dental implants provide. With dedication and the right support, you’ll achieve a complete smile, restore functional teeth, and experience the confidence that comes with a natural smile—every single day.
The Benefits of Full Mouth Tooth Replacement
Full mouth dental implants offer key benefits such as improved stability, function, and appearance compared to traditional dentures.
- 95% or higher long-term success rate
- Natural look and feel
- Restores up to 70% of natural biting force
- Supports facial structure and prevents bone loss
- Allows a balanced and unrestricted diet
- Easy to maintain
- Cost-effective long term
- Designed to last decades or longer
Helping You Achieve a Cost-Effective Dream Smile
Although full mouth dental implants involve a higher initial investment, they are one of the most cost-effective long-term solutions for complete tooth replacement due to their durability and health benefits.
Treatment cost varies depending on the necessary preparatory procedures and your personalized treatment plan. While most insurance plans do not fully cover full mouth dental implants, some may contribute to certain components of care.Our financial coordinators work with trusted third-party financing partners to help make this life-changing treatment accessible through manageable monthly payments.

Frequently Asked Questions
What are full mouth dental implants?
Who is a candidate for full mouth dental implants?
How do full mouth dental implants differ from traditional dentures?
What is the process for getting full mouth dental implants?
Is the implant placement surgery painful?
How long does it take to heal after full mouth implants?
What materials are used for the final implant teeth?
What are the benefits of full mouth dental implants?
How do full mouth implants impact my diet?
Does insurance cover full mouth dental implants?

Teresa Salem, DMD
Dr. Teresa Salem is a recognized leader in dental implantology and same-day smile makeovers, having placed thousands of implants and completed hundreds of complex All-on-X cases. With nearly three decades of experience, she combines advanced technology, an in-house digital workflow, and patient-centered care to deliver efficient, high-quality treatment with greater affordability. A Diplomate of the International Dental Implant Association and nationally recognized speaker, Dr. Salem is trusted by both patients and providers for her clinical expertise and compassionate approach.



