“I Wouldn’t Smile Because I Felt I Would Be Judged, Implants Helped Me To Smile With Dignity.”
Dental Implants Designed to Make Lasting Impressions
Not being able to eat favorite foods like a juicy steak or apple, missing out on a dream job, or a limited social life are real-life consequences of missing teeth.
Although many people ignore this problem, especially in the back of their smiles, even a single missing tooth can cause loss of bone and shifting of surrounding teeth. In addition, the empty spaces can harbor bacteria and cause a gum infection that can spread to other parts of your body when left untreated.
Fortunately, dental implants are the ideal solution to prevent these issues from impacting your quality of life. They offer incredible versatility because they can be used to replace a single tooth, multiple teeth, or a full arch lost to dental trauma, decay, or gum disease.
This, coupled with their longevity, functional benefits, and natural appearance, is why dental implants are considered the gold standard tooth replacement solution. Dental implants are designed to function and feel like your own teeth, restoring both natural appearance and chewing ability.
We offer free initial consultations and second opinions for dental implants in Holbrook and Scituate, MA, because we’ve seen firsthand how they transform patients’ lives and want you to obtain the same benefits!
The Characteristics of a Dental Implant
Dental implants are made up of three components—post, abutment, and restoration—that mimic the function of natural teeth. Secured in your jawbone, dental implants are one of the most versatile tooth replacements available, able to replace any number of missing teeth.
This permanent solution requires the precision of a skilled implant dentist or dental professional and advanced surgical technology to optimize the outcomes of your treatment and its long-term success.
Our team routinely provides dental implant treatment across a variety of cases, leveraging state-of-the-art technologies and high-quality materials for the best results.
With our expertise, we can help you experience a life of health, function, and confidence with dental implants in Holbrook & Scituate, MA! Consulting a qualified dental professional is essential for planning and performing dental implant procedures to ensure optimal results.
Your Custom Dental Implant Options
Dental implants consist of a titanium post that replicates your tooth root, a connector piece called an abutment, and a customized crown that resembles and replaces your natural tooth.
After the implant fuses with your jawbone in a process called osseointegration, it provides a strong artificial tooth root to support the crown. Dental Implants enable biting with increased force (up to 70% more), prevent bone deterioration, and restore facial features. At Pearl Dental Implant Center, we customize treatment options to meet your unique needs, enabling you to enjoy a smile with long-term functional and aesthetically pleasing benefits.
State-of-the-art options offered at Pearl Dental Implant Center include:
- Single Tooth Replacement: For patients missing one tooth, we provide natural-looking individual dental implants restored with custom crowns designed and fabricated in-house using advanced CEREC technology. This allows for precise, same-visit restorations with exceptional aesthetics and convenience.
- Full-Arch Restoration: For patients missing multiple teeth or an entire arch, we offer zirconia full-arch bridges, including the All-on-X technique. This approach strategically places a minimum of four dental implants to maximize available bone and support a fixed, non-removable set of teeth. Unlike traditional dentures, this permanent prosthetic solution restores full function, stability, and natural appearance.
- Implant-Supported Dentures: For those who prefer a removable option, we offer implant-supported dentures, often referred to as snap-on dentures. These restorations use dental implants to securely anchor the denture in place, eliminating many common frustrations associated with traditional dentures such as slipping, discomfort, clicking, or difficulty eating.
Whether you choose a fixed full-arch solution like All-on-X or an implant-supported removable option, dental implants in Scituate and Holbrook, MA can help you eat comfortably, smile confidently, and enjoy a healthier, higher quality of life.

Single Implants

Implant Supported Bridge

Implant Supported Dentures

Full Mouth Dental Implants
Avoid Making Costly Mistakes!
Dental implants are a lifetime investment in your health, function, and quality of life. Avoid the common mistakes people make when considering implants by following our recommendations.
Download Now
Care from a Compassionate Team with Advanced Dental Implant Training
Most dental practices have to refer implant patients to an outside specialist, which adds time, money, and stress to the process. Dr. Teresa Salem and her team have the experience and special training needed to complete the entire procedure from start to finish, with the clinical excellence they bring to all procedures.
This includes planning, placing, and restoring dental implants. Dr. Salem has attained Diplomate status in the International Dental Implant Association as a result of her vast expertise and experience placing and restoring dental implants in Scituate and Holbrook, MA, as well as on multiple charitable missions to the Dominican Republic.
Dr. Salem continually strives to advance her implant skills and deliver the best possible outcomes by attending symposiums and courses focused on the latest dental implant techniques and technologies.
All-on-X Dental Implant Procedure and Treatment Process
During your initial visit, we evaluate your oral and general health to look for issues that may impact your body’s ability to heal or fight infections, such as untreated gum disease. We encourage you to ask any questions or discuss concerns at this appointment.
A CT scan is taken to assess the health of your jawbone and make sure there is adequate jawbone volume to support the implant posts. We use 3D imaging to precisely pinpoint the most optimal areas for placement and to create custom surgical guides we use the day of surgery. If you don’t have sufficient bone, we may recommend bone grafting or a sinus lift to strengthen the area. A bone graft may be necessary if the jawbone is too soft or thin, and this can be performed before or during dental implant placement.
We administer minimal oral sedation or anesthesia to ensure your ultimate comfort. Local anesthetic is used to numb the treatment area, and may be offered for patient comfort, especially in complex cases or when multiple dental implants are placed. During the dental implant placement, gum tissue is opened to expose your jawbone, then a small hole is drilled for insertion of the metal implant. After your gum tissue is sutured closed, the surgical site heals over the next three or more months. The healing process, known as osseointegration, involves the bone growing tightly around the implant site so the implant heals and becomes securely integrated with your jawbone.
Once your jawbone is completely healed, you’ll return to our office for the placement of your final zirconia arch. After dental implant surgery, patients are advised to take a few days off work to manage recovery. The recovery process includes initial soreness, swelling (which peaks around the second day), minor bleeding, bruising, and pain.
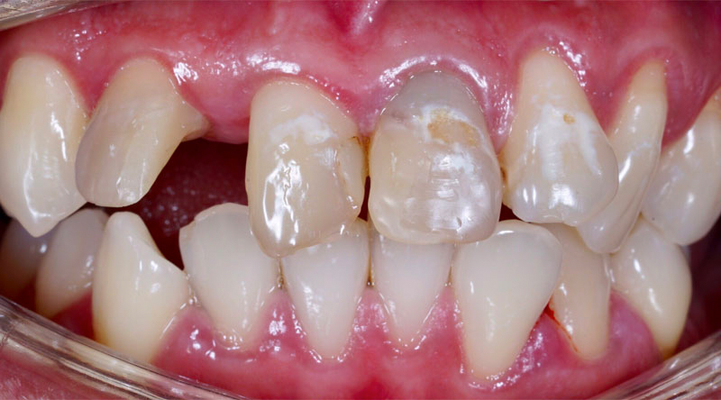
The Reasons Dental Implants are the Gold Standard Solution
Dental implants provide numerous advantages over other tooth replacement options. Two of the biggest advantages are that dental implants completely restore chewing power and they can last a lifetime.
The dental implant is made from biocompatible titanium, which enables it to safely integrate with your jawbone. If no implant is placed within the first year of losing a tooth, bone volume decreases by 25% and continues until it is completely resorbed.
This can ultimately lead to changes in your facial appearance (e.g. sagging). While other tooth replacement options need to be repaired or replaced periodically, dental implants are designed to last the rest of your life!
For these reasons and more, implants are a preferred solution for most of our patients.
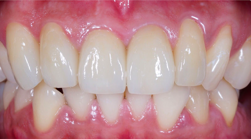
The Long Lasting Benefits of Dental Implants
- Natural-looking and comfortable
- Long-lasting reliability with a high success rate
- Helps prevent jawbone loss and facial sagging
- Restores up to 99% of natural function
- Enables eating your favorite foods
- Helps keep adjacent teeth stable and healthy
- Can be brushed and flossed like natural teeth

Don’t Let Cost Get in the Way of a Complete Smile
The final cost of an implant procedure can vary depending on specific patient’s needs, including how many teeth need to be replaced, location in the mouth, and the type of restoration being used.
Although dental implants are associated with a higher initial cost, their longevity and amazing benefits make them the most cost-effective long-term tooth replacement option. Regular dentures and bridges typically need to be completely replaced every 7-10 years, compounding their cost, while implants can often last 30 years or more.
To help you afford this transformative treatment, we’ll file insurance claims on your behalf, work diligently to maximize your benefits, and offer financing with two leading financing companies to enable manageable monthly payments.



