“I Was Sick Of Wearing A Partial, Dental Implants Allowed Me To Smile Again.”
Leave Your Fear at the Door
Dental fear and anxiety can keep many Holbrook & Scituate, MA patients from receiving the necessary dental care they need for healthy, beautiful smiles. If that sounds like you, put your mind at ease. You’ll have a comfortable experience here at Pearl Dental Associates. Our practice possesses a rare combination of positivity, comfortable amenities, and minimally invasive dental technology that makes it easy to overcome your concerns. In fact, we want you to not only receive the dental care you need but enjoy your dental visit! We offer sedation dentistry services customized to your unique level of dental fear to minimize your anxiety and worry. We also offer dental sedation to help you combine multiple treatments into one, efficient appointment, minimizing the number of visits you have overall. Let our sedation dentistry treatment put your fears to rest and not only change your relationship with dentistry, but ultimately your smile!
Dental insurance Accepted
If you have dental insurance, then our team is ready to make it nice and easy for you to save on your dental care. We accept and are in-network providers for many popular PPO plans, and our expert team will help you maximize your benefits at every visit. We’ll even handle the claims paperwork so you don’t have to! To learn how we can use your particular insurance plan, give us a call today.
We are contracted with the following insurance companies:
- Aetna PPO
- Altus
- Blue Cross Blue Shield
- Cigna PPO
- Delta Dental
- Guardian
- MetLife
- GEHA
The Advantages of Professional Teeth Bleaching
Although many people ignore this problem, especially in the back of their smiles, even a single missing tooth can cause loss of bone and shifting of surrounding teeth. In addition, the empty spaces can harbor bacteria and cause a gum infection that can spread to other parts of your body when left untreated.
Issues Cosmetic Dentistry Can Correct
No other teeth whitening solution provides the instantaneous and dramatic results in just a few hours as that of our professional teeth whitening services in Holbrook & Scituate, MA. The professional-grade bleaching agents found in our whitening solutions soak deep into your tooth enamel, to remove internal as well as surface-level stains. Additionally, most patients report that they did not experience any tooth or gum sensitivity during or after their whitening session. Our cosmetic dentist helps you choose the most complementary shade and monitor your treatment for the best possible results. Generally, if you maintain a good oral hygiene routine, professional cleanings, and minimize teeth-staining foods and beverages, your teeth have the potential to remain noticeably white long-term!
Understanding Possible Solutions
Dentures are traditionally the most affordable option, although they lack the natural functionality and long-term benefits of full mouth dental implants. Our interdisciplinary dental team has many years of training and experience leveraging innovative technologies and advanced skills when placing and restoring full arch dental implants in Holbrook, MA and Scituate, MA.
We leverage top implant technologies from Straumann, NDX nSequence, and TeethXpress and offer the All-On-4 protocol. Also known as implant supported dentures, All-on-4 full mouth dental implants consist of four small titanium posts that support a crafted row of teeth that are custom-fitted to your mouth.
Among its many benefits, this protocol offers the potential to bypass bone grafting if you have bone density loss in your upper or lower jaw. This protocol also offers some flexibility, with the ability to use six or eight implants for added support.
Traditional Dentures
- Removable
- 5+ Year Lifecycle
- Adhesives Recommended
- Doesn’t Prevent Bone Loss
- Dietary Limitations
Implant Retained Dentures
- Removable or fixed
- 10+ Year Lifecycle
- Secured by 2+ Dental Implants
- Slows Bone Loss
- Increased Chewing Potential
Full Arch Dental Implants
- Fixed Permanently
- Lasts Decades to Life
- Secured by 4+ Dental Implants
- Prevents Bone Loss
- Unlimited Food Choices
James realized how significant his life would be with a new-fresh, beautiful smile that was healthy with All-on-4 dental implants.
Our Efficient Process
Stage 1: Comprehensive Consultation
If you’ve been told by another practice that you’re not a candidate, we provide free initial consultations and second opinions. Dr. Salem will ask you about your smile goals and personal preferences and encourage you to ask questions or discuss concerns during this visit.
Once you’ve decided to restore your smile, Dr. Salem assesses your oral health, provides clinical recommendations, and performs diagnostic imaging to determine the best placement for your implants. You’ll walk out of our office with a clear understanding of all the steps involved in your smile journey – from the cost of care – to clinical information specific to your unique smile restoration.
Stage 2: Implant Placement
If you’ve been told by another practice that you’re not a candidate, we provide free initial consultations and second opinions. Dr. Salem will ask you about your smile goals and personal preferences and encourage you to ask questions or discuss concerns during this visit.
Once you’ve decided to restore your smile, Dr. Salem assesses your oral health, provides clinical recommendations, and performs diagnostic imaging to determine the best placement for your implants. You’ll walk out of our office with a clear understanding of all the steps involved in your smile journey – from the cost of care – to clinical information specific to your unique smile restoration.
Stage 3: Restoration
It takes a few months for dental implants to fuse with your jaw through a process called osseointegration and the sites to completely heal. Once this process is complete, you’ll return to our office to receive your final customized restoration created from zirconia or nanoceramics.
Zirconia is a high-quality material that looks and feels like your natural teeth, with wear-resistant durability, superior strength, and beautiful aesthetics that resist stains and fractures. Nanoceramic implants are the newest technological breakthrough in permanent implant-supported bridges, featuring beautiful custom-milled ceramic infused with a specialized resin that closely mimics the natural flexing of your real teeth when you chew.
After you receive full mouth dental implants from Pearl Dental Associates, you’ll never have to worry again about common issues associated with dentures, such as teeth falling out, clicking, slipping, or removing them at night for cleaning!
Like countless other patients that received full mouth dental implants in Holbrook and Scituate, MA, you’ll walk out of our practice with a restored sense of self, the ability to eat all the foods you love, and the overwhelming desire to smile ear to ear!
Select Treatments to Restore Pearly Whites
-
Porcelain Veneers
Compared to traditional film X-rays, digital X-rays are a huge leap forward in dentistry. They capture greater detail, take less time to produce, and emit up to 80% less radiation, thereby providing many patients with peace of mind (especially parents). In addition, they don’t require toxic darkroom chemicals to be processed, limiting our practice’s impact on the local environment.
-
Teeth Whitening
One of the biggest past challenges in dentistry was helping patients understand their dental needs when they couldn’t see what their dentist was talking about. Our intraoral camera allows us to capture close-up, high-resolution images of your teeth and gums, which we can immediately show you on a chairside monitor. This camera is a tremendously helpful for patient education and enhances our ability to thoroughly explain the benefits of specific treatments.
Avoid Making Costly Mistakes!
Dental implants are a lifetime investment in your health, function, and quality of life. Avoid the common mistakes people make when considering implants by following our recommendations.
Download NowNew Patient Information
If you’re brand new to our dental office, then this is the page for you! Below, you’ll find answers to some basic questions such as, “What will my first visit be like?” and “Will you take my insurance?” After looking everything over, if you still have a question for us, feel free to just pick up the phone and ask. We can’t wait to welcome you into our practice and show you all the great things we can do for your smile.
Our entire team looks forward to helping you achieve your dream smile with affordable treatment tailored to your needs.
Financing Available
If you currently do NOT have dental insurance, our practice is happy to accept payment plans from CareCredit and LendingClub. They each have a wide variety of plans that can work for any budget, many with low-to-no interest! They have already helped many of our patients easily afford their dental care, and they can do the exact same for you. To explore your options and sign up for a plan today, click on the links below.
Before & After Photos
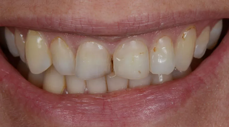
Candidates for Porcelain Veneers
Virtually all patients with cosmetic problems are candidates for dental veneers if they are in good oral health. As a cosmetic dentistry treatment, veneers aren’t meant to resolve functional issues with teeth, such as a bad bite (malocclusion). Instead, they can be a great option if you have the following issues in your smile zone, or the teeth that show when you smile:
Understanding Possible Solutions
Traditional Dentures
- Removable
- 5+ Year Lifecycle
- Adhesives Recommended
- Doesn’t Prevent Bone Loss
- Dietary Limitations
Full Arch Dental Implants
Inlays and onlays perform a function similar to fillings but are used to repair the outside surfaces of your teeth. In many cases these can make placing new crowns on the teeth unnecessary. Inlays restore the middle of the biting surface of the tooth while onlays are used to cover a wider area that includes at least one cusp, the raised areas on the top of the tooth. Inlays and onlays can be colored matched to your tooth for a seamless, consistently bright smile.
Candidates for Porcelain Veneers
Virtually all patients with cosmetic problems are candidates for dental veneers if they are in good oral health. As a cosmetic dentistry treatment, veneers aren’t meant to resolve functional issues with teeth, such as a bad bite (malocclusion). Instead, they can be a great option if you have the following issues in your smile zone, or the teeth that show when you smile:



